구강악안면외과 전문 대표원장님이 직접 진단 및 치료합니다. 치료 전, 후 주의사항에 대해 세세히 안내드립니다.
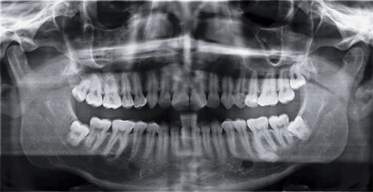
1. 사랑니는 세번째 어금니를 말하며 위아래 좌우 하나씩 최대 4개까지 날 수 있으나 나지 않는 경우도 있습니다.
2. 턱뼈의 공간이 부족한 경우 대부분 기울어져 나거나 잇몸 속에 묻혀 있습니다.
3. 관리가 잘 안되어 충치 발생률이 높고 통증이 생길 수 있습니다.
4. 옆의 어금니에 영향을 끼쳐 염증 발생을 일으킬 수 있습니다.
5. 음식물이 잘 끼고 잇몸이 부을 수 있습니다.
6. 치열이 불규칙해질 수 있습니다.
7. 아래 사진의 경우 사랑니가 신경관과 가까이 있어 신경손상의 위험이 높아 주의하여 발치해야 합니다.
