충치가 심한 경우
신경치료
심한 충치 및 외상으로 인하여 치아의 신경이 손상되면 심한 통증이 생기거나 혹은 뿌리 끝의 잇몸 뼈 속에 염증이 생깁니다.
이때 염증이 생긴 신경 부위를 제거하고 치아를 보존시켜주는 치료 방법입니다.
신경치료과정
치료사례
저희 의원은 환자의 동의를 얻은 사진만 기재됩니다.

골드 크라운 (금니)
신경치료를 한 치아나 충치가 심하여 남아 있는 치아의 양이 부족하거나,
치아가 금이 간 경우 치아를 보호하여 씹는 기능을 유지 시켜주는 치료 방법입니다.
특징
- 1. 변색과 부식에 대한 저항력이 강하고 생체 친화성이 우수합니다.
- 2. 다른 금속보다 유연성과 접합성이 높습니다.
- 3. 정밀 제작이 가능합니다.
- 4. 강도가 자연치아와 비슷하여 튼튼하게 사용할 수 있습니다.
치료사례
저희 의원은 환자의 동의를 얻은 사진만 기재됩니다.

PFM 크라운(Porcelain Fused to Metal)
신경치료를 한 치아나 충치가 심하여 남아 있는 치아의 양이 부족하거나,
치아가 금이 간 경우 치아를 보호하여 씹는 기능을 유지 시켜주는 치료 방법 중, 치아색으로 심미적인 회복도 가능하게 하는 치료입니다.
특징
- 1. 치아색과 거의 유사하여 매우 심미적입니다.
- 2. 금속보다는 강도가 약하여 심미성이 요구되는 앞니쪽 치료에 사용됩니다.
- 3. 시간이 경과 후 잇몸이 내려가면 치아목 부분에 있는 금속이 드러나 잇몸이 약간 검게 비춰 보일 수 있습니다.
치료사례
저희 의원은 환자의 동의를 얻은 사진만 기재됩니다.

지르코니아 크라운
치아색과 거의 유사한 심미적인 재료로
내부에 금속 틀이 없어 잇몸과의 경계부분이 검게 비춰 보임이 없으며 강도가 우수해
PFM 크라운의 단점을 보완할 수 있습니다.
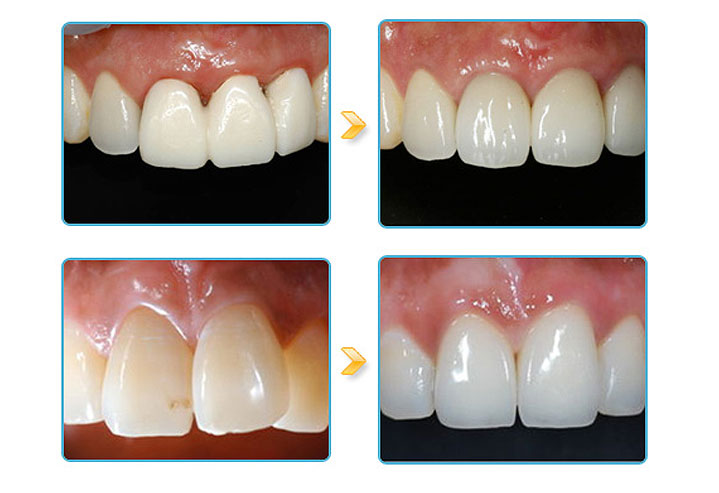
올세라믹
치아를 삭제하고 세라믹 재질의 보철물을 씌우는 치료 방법입니다.
보철물의 안쪽도 금속이나 금이 아닌 세라믹을 사용하기에 자연치아와 같이 투명하고 자연스럽습니다.
주로 높은 심미도가 요구되는 앞니 치료에 사용됩니다.
올세라믹 치료가 필요한 경우
- 1. 앞니 사이가 벌어진 정도가 심한 경우
- 2. 많은 부분이 깨졌거나 썩은 앞니
- 3. 삐뚤어지거나 배열이 안 좋은 정도가 심한 앞니
- 4. 돌출이 많이된 앞니
- 5. 앞니의 충치로 인한 기존 충전물의 변색
- 6. 교정으로 해결할 수 없는 앞니
- 7. 교정치료 할 시간이 부족하신 분
올세라믹 특징
- 1. 겉과 안쪽 모두 세라믹 재질로 만들기 때문에 자연치아와 아주 유사합니다.
- 2. 교정을 하기 어려운 경우에 적합하며 비용과 시간이 보다 경제적입니다.
- 3. 치료가 어려운 경우에는 교정치료가 필요할 수 있습니다.
- 4. 간혹 파절의 우려가 있습니다.
치료사례
저희 의원은 환자의 동의를 얻은 사진만 기재됩니다.
