임플란트는 치아가 빠진 부위에 치아의 뿌리부터 머리까지 자연 치아처럼 만들어 주는 방법입니다.
상실된 차이를 대신하여 티타늄으로 만들어진 인공치근을 수술을 통해 치조골에 직접 삽입한 후 그 상부에 보철물을 형성해
줌으로써 자연치아와 같이 씹을 수 있도록 합니다.


임플란트 식립
1차 수술을 통해 정확한 위치에 임플란트를 심습니다.
임플란트의 골유착 및 지대주의 연결
임플란트 수술 후 골의 치유 및 임플란트의 골유착이 진행되면 2차 수술을 통해 잇몸 밖으로 기둥(지대주)을 연결합니다.
*수술 형태에 따라 2차 수술은 생략될 수 있습니다.
보철물 장착
임플란트의 기둥(지대주)위에 인공치아를 만들어 넣는 과정입니다.

임플란트 식립
1차 수술을 통해 정확한 위치에 임플란트를 심습니다.
임플란트 시술 후 관리를 잘하지 못한다면 교합이상 또는 임플란트 주위염 등이 발생될 수 있습니다.
종로사과나무치과의 Dental care system으로 지속적인 사후관리를 통하여 안전하고 건강한 치아관리를 받으실 수 있습니다.
임플란트 시술 후 구강 위생 관리를 철저히 잘하면 반영구적으로 사용할 수 있습니다.
그러나 구강 위생 관리를 소홀히 하면 자연치아에서 생기는 치석, 잇몸병, 풍치 등이 임플란트에도 똑같이 일어나 수명을 단축시킵니다.
오래 사용하기 위해서는 임플란트 수술 후 철저한 구강 위생 관리와 담당 의사선생님의 지시에 따라 정기적인 구강검진이 필요합니다.
임플란트 관리, 종로사과나무치과에서 도와드립니다.
첫 1년까지는 3~6개월 간격으로, 이후에는 1년에 한번 치과를 방문하셔서 점검받으세요.
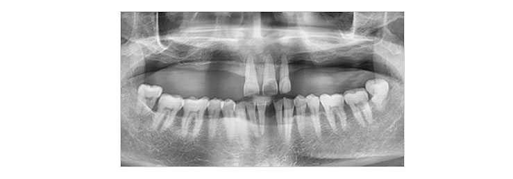
검진시 X-ray 촬영과 구강검진, 필요시 스케일링을 하게 됩니다.
이를 뽑은 직후 인공치아 뿌리를 바로 심는 방식을 말합니다.
환자의 나이나 건강상태가 좋으며 잇몸 뼈가 임플란트에 적합하고 충분한 양과 골밀도가 있는 경우 행해지는 시술입니다.

수술 전
손상된 치아를 뽑은 당일 잇몸 주변의 염증을 제거한 후 인공치아 뿌리를 심습니다.
수술 후
인공치아 뿌리에 기둥을 연결해 미리 본을 떠 만든 임시 보철물을 장착합니다.
임플란트완성
수 개월 후 잇몸과 뼈가 모두 아물면 곧바로 임시 보철물을 떼어내고 최종 보철물을 장착하여 고정시킵니다.
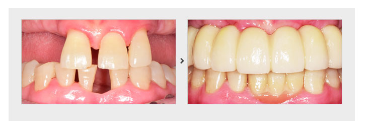
저희 의원은 환자 동의를 얻은 사진만 기재됩니다.
3D CT 분석과 스캔과정을 통해 수술 경로를 미리 파악하여
가장 좋은 뼈의 위치에 임플란트를 식립하는 방법입니다.
정밀한 시뮬레이션을 통해 기존 임플란트에 비해 높은 정확도와 안정성을 가질 수 있습니다. 

2~6개의 임플란트를 식립하고 틀니를 연결하여 사용하는 치료 방법입니다.
틀니만 하였을 경우 쉽게 빠지는 단점을 보완해주어 편안하게 사용하실 수 있습니다.
